
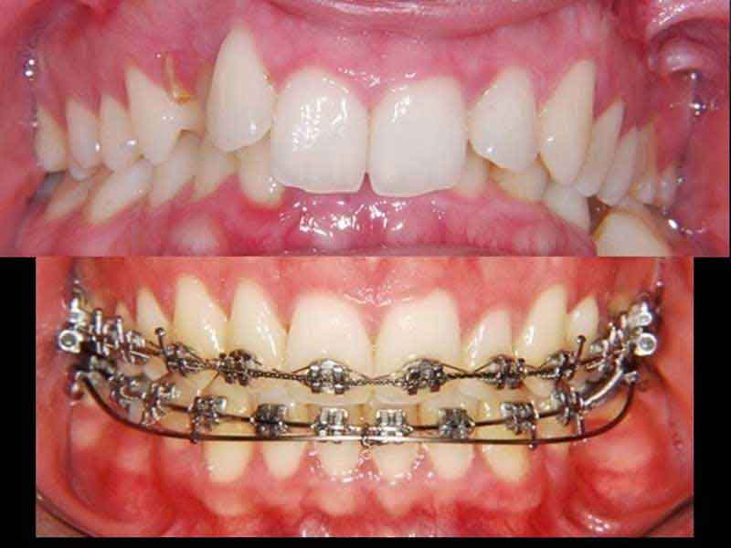
Orthodontic Treatments for Straighter, Healthier Smiles
Transform your smile in Silchar with orthodontic treatments designed to correct bite issues, align teeth, and support long-term oral health.
Procedure Duration
12-24 months
Recovery Time
Minimal discomfort
Key Benefits
✓
Corrects bite issues
✓
Improves oral hygiene
✓
Enhances facial aesthetics
✓
Prevents future dental problems
✓
Boosts confidence
✓
Customized treatment plans
Procedure Steps
1
Digital scans & X-rays2
Treatment planning3
Appliance placement4
Monthly adjustments5
Retention phase